
Extirpan un feto con columna vertebral y dedos del cerebro de bebé de 1 año
Curiosidades16/03/2023
Celia Santana
A una niña de 1 año se le practicó a una intervención quirurgica para extraer el feto de su hermano gemelo, anomalía conocida como fetus in fetu (feto en feto) o «gemelo parásito”, según informó la Universidad de Fundan en Shangái, China.
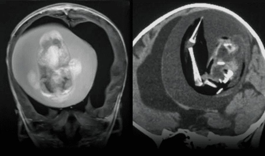
«Se identificó un fetus-in-fetu intraventricular, un gemelo diamniótico monocoriónico malformado, en una niña de 1 año con retraso motor y perímetro cefálico agrandado», señala el reporte.
Ocurre en 1 de cada 500.000 nacidos
El fenómeno ocurre aproximadamente a 1 de cada 500.000 nacidos. Usualmente, el feto malformado aparece en el abdomen. Sin embargo, en este caso apareció en la cabeza de la menor.
Cuando eran fetos, ambos habían compartido la misma placenta, aunque separados por sacos amnióticos. Todo parece indicar que uno de ellos se mimetizó durante la gestación. Luego se alojó en el cerebro de la niña durante el proceso de desarrollo, denominado plegamiento de la placa negral.

El descubrimiento se dio luego de que la niña de 1 año diera señales de retrado en el desarrollo de sus habilidades motoras, agrandamiento en la circunferancia del craneo y acumulación de líquido en el cerebro.
Los escáneres cerebrales revelaron que el feto en la cabeza de la niña de 1 año tenía columna vertebral y dos huesos de la pierna. Además, tenía espina bífida, afección donde parte de la médula espinal queda expuesta. Cuando finalmente se extrajo, se determinó que tenía brotes de extremidades superiores y dedos.



Rusia se hace con el control de otras dos localidades en Ucrania


El excéntrico inodoro de oro de Maurizio Cattelan será subastado en Nueva York

El huracán Melissa iguala récords históricos al tocar tierra en Jamaica


El impacto de los videojuegos en la salud mental: ¿Beneficios o riesgos?



RD y PR se enfrentan este sábado en el Citi Field de NY en Juego de Estrellas









