

El alzhéimer es una enfermedad neurodegenerativa que, según la Organización Mundial de la Salud (OMS), afecta a aproximadamente a 50 millones de personas a nivel mundial por lo que sus avances suponen uno de los grandes desafíos para la medicina moderna.
A pesar de los desafíos que plantea el alzhéimer, cuyo Día Mundial se conmemora el 21 de septiembre, los avances recientes son motivo de optimismo.
Las nuevas terapias, la investigación de una posible vacuna y su detección por los valores en sangre, están mostrando resultados prometedores. Además, las tecnologías de diagnóstico están mejorando la capacidad de intervenir lo antes posible para ofrecer a los pacientes una mejor calidad de vida.
Según la revista científica online JAMA Neurology, se ha documentado una mayor y más rápida precisión diagnóstica para la patología del alzhéimer. Un reciente estudio divulga que podría detectarse a través de una analítica de sangre.
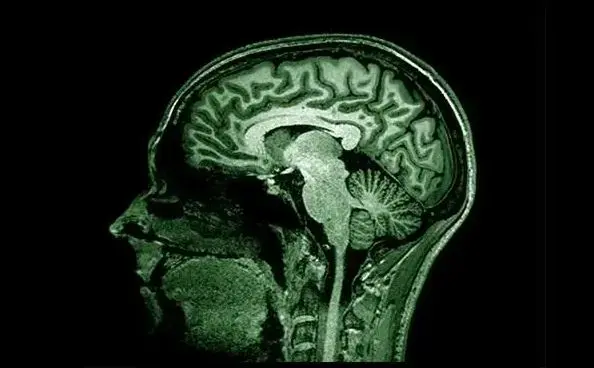
Caracterizada por el deterioro cognitivo y la pérdida de memoria, aparece cuando en las placas cerebrales se produce un exceso de la proteína beta-amiloide. Esta es esencial para la transmisión de información entre neuronas, y la disminución de otra, el tau positivo, empeorando el proceso cognitivo.
Antes incluso de que aparezcan los primeros síntomas, estos depósitos van formando placas entre las neuronas que resultan tóxicas y son los responsables del progresivo deterioro cognitivo.
Las proteínas son una parte importante de los diferentes procesos celulares que tienen lugar en nuestro organismo. Estas macromoléculas, formadas por aminoácidos, y compuestas por Carbono, Hidrógeno, Oxígeno y Nitrógeno, intervienen en casi todos los procesos biológicos a nivel celular.
Detectar los valores de beta-amiloide y tau en sangre ayudan a la posible detección del alzhéimer, si bien no implica directamente estar afectado.
Desde la Fundación Maragall, que investiga la patología amiloide y comparte los últimos avances científicos para detectar, prevenir y frenar los síntomas de la enfermedad a través de la innovación en el tratamiento del alzhéimer aseguran que si bien los factores genéticos influyen, no quiere decir que se vaya a heredar genéticamente.




COE desplegará más de 51 mil colaboradores en operativo de Semana Santa 2026


MAP establece jornada laboral del sector público hasta el Miércoles Santo por SS


Clínica estética estaba clausurada cuando murió mujer durante liposucción










