
Hombre utilizó un coco de 9 centímetros como estimulante afrodisíaco y terminó en el hospital
Insólitas28/06/2025
Celia Santana
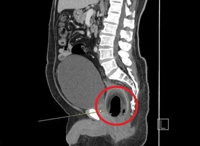
Existen muchas formas de estimular el deseo sexual, generalmente se hace a través de juegos, comida, bebidas o juguetes por nombrar algunos, pero un hombre decidió emplear un coco para lograr esto. Los resultados no fueron positivos y el hombre terminó en el hospital. El insólito hecho sucedió en Taiwán y el paciente de 56 años utilizó un coco que introdujo en el recto.

Producto de esta acción, el sujeto no podía orinar, se quejaba de un fuerte dolor abdominal y estaba con estreñimiento. A pesar de estos síntomas, el sujeto no acudió al médico. Tras volverse el dolor insoportable, luego de dos días el hombre llegó hasta el hospital en busca de ayuda.El paciente se sometió a una cirugía de emergencia después de que las pruebas mostraran que se había insertado un coco de nueve centímetros de largo en el recto, según un comunicado del British Journal of Surgery.
El coco de 9 cm de largo fue extraído por laparotomía, una operación que implica la apertura del abdomen. El paciente tuvo suerte de seguir vivo. Afortunadamente, no sufrió daños internos graves. Pero, los médicos le recomendaron que no volviera a hacer esto. El paciente admitió que se puso el coco en el recto para estimularlo. “




Comisión del Ministerio de Educación evalúa avances para el año escolar 2026-2027





Despliegan unidades policiales en sectores de SDN para prevención de delitos


Comisión del Ministerio de Educación evalúa avances para el año escolar 2026-2027









