
Detectan enorme quiste en pulmón de una mujer provocado por parásitos en perros
Insólitas11/04/2024
Prensa TNI
Un video en TikTok ha llamado la atención de diversos usuarios, luego de que se diera a conocer el caso de una mujer que tenía un quiste en el pulmón por parásitos de su perro.
Por medio de la grabación, se da a conocer que una mujer, originaria de Junín, en Perú, acudió al médico por un fuerte dolor en el pecho.
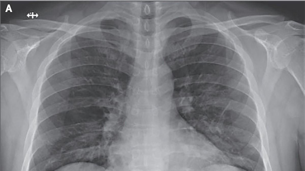
Tras realizarle una tomografía en el tórax, los médicos descubrieron que tenía un quiste enorme en el pulmón izquierdo, debido a un parásito llamado 'Echinococcus granulosus'.
Los expertos dieron a conocer que la mujer, de 75 años, tenía un quiste en el pulmón que se trasmite por parásitos en los perros.
Al identificar las causas del dolor, los médicos tuvieron que realizarle una cirugía de pulmón en la que se le logró sacar todo el quiste hidatídico, y la cual duró dos horas.
Durante la grabación, el especialista indica que actualmente la mujer que tenía un quiste en el pulmón por parásitos de su perro, se encuentra en recuperación.
El usuario @dr.alfredoliver destacó que el quiste en el pulmón pudo haberse evitado, pues las mascotas también deben ser desparasitadas cada tres meses.
Después de conocer este caso, aquí te compartimos más acerca de este padecimiento y cómo puedes prevenirlo.
¿Qué enfermedad produce el Echinococcus granulosus?
De acuerdo con el Gobierno de Argentina, la hidatidosis es una enfermedad que se produce por el 'Echinococcus granulosus', un parásito que se transmite por medio de los perros y su materia fecal.
Cuando los perros infectados del parásito eliminan su materia fecal, salen miles de huevos del parásito que contaminan el agua, pasto, tierra, verduras y hasta pueden quedar adheridos en su pelo.
Entre los casos más comunes es el de las ovejas, pues cuando comen pasto o toman agua con estos parásitos, estos pueden quedar adheridos en los pulmones, hígados y otros órganos, formando quistes.
¿Cuáles son los síntomas de la hidatidosis?
Los síntomas pueden depender de en dónde se encuentre el órgano comprometido, mientras que la rotura de estos quistes pueden provocar algunos malestares, como lo son:
Fiebre
Urticaria
Reacciones anafilácticas graves
Los médicos deberán realizar un diagnóstico para descubrir la afección y cuál es el mejor tratamiento para el paciente.
¿Cómo eliminar Echinococcus granulosus?
Se ha informado que tras realizar el examen del líquido del quiste o en pruebas serológicas, existen dos tratamientos para eliminar el quiste del órgano afectado.
Los tratamientos utilizados pueden ser con albendazol o cirugía, o con aspiración del quiste y añadiendo un agente escolicida.
Salud180


Gobierno impulsará mecanización para reducir mano de obra extranjera en el campo

Ney Arias Lora inaugura Unidad de Psicotrauma tras experiencia del Jet Set


Clínica estética estaba clausurada cuando murió mujer durante liposucción




Anuncian desvío por retiro del viejo puente peatonal en el Kilómetro 9



CPADB gradúa 20 jóvenes músicos en Cristo Rey y entrega instrumentos








