
OMS y Unicef alertan que el sarampión en Europa ha alcanzado su nivel más alto en 25 años
Salud13/03/2025
Raudy Mota
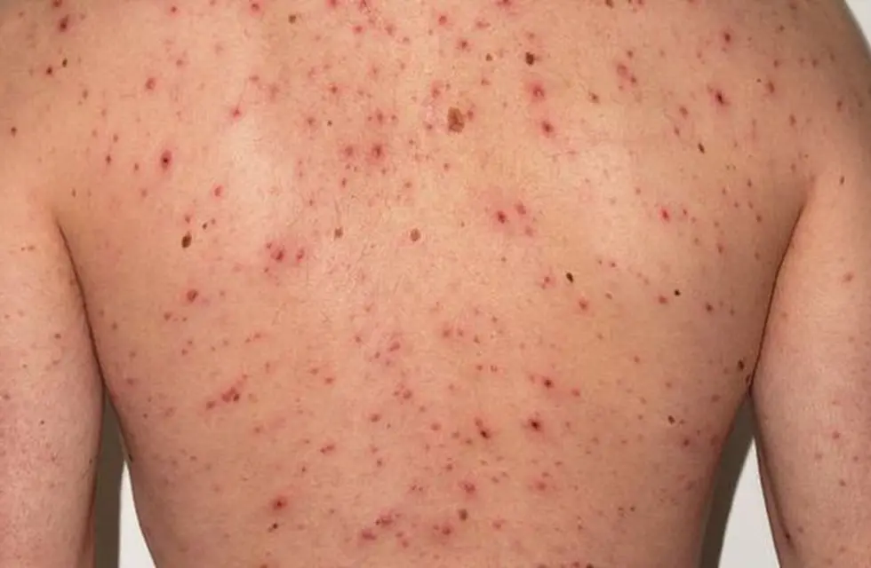
Europa y Asia Central reportaron en 2024 más de 127,000 casos de sarampión, una cifra que duplica la del año anterior y que representa el nivel máximo de incidencia de la enfermedad en la región en más de 25 años, advirtieron este jueves la Organización Mundial de la Salud (OMS) y el Fondo de Naciones Unidas para la Infancia (Unicef) en un estudio conjunto.
«El sarampión está de vuelta, y esto es una llamada de atención», advirtió en un comunicado el director regional de la OMS para Europa, Hans Kluge.
Las agencias de la ONU atribuyen este avance de la enfermedad, que puede ser mortal o requerir hospitalización especialmente en niños pequeños, a una reducción en la cobertura de la vacunación en muchos países, iniciada durante la pandemia de covid-19 y alimentada luego por la «desinformación» en torno a las vacunas.
«Medio millón de niños en 53 países de Europa y Asia Central no recibieron su primera dosis de la vacuna en 2023», afirmaron OMS y Unicef, advirtiendo que algunas naciones en la región han llegado a reportar tasas de vacunación de sólo el 24 %, lejos del 95 % recomendado para que se logre la llamada «inmunidad de grupo».
Un 70 % de los casos registrados (74,000) necesitaron hospitalización, un 40 % se dieron en niños menores de cinco años (54,000) y se reportaron 38 muertes, agregó el estudio conjunto.
Rumanía fue el país de la región más afectado, con más de 30,000 casos, seguido por Kazajistán (28,000), Rusia (22,000) y Azerbaiyán (16,000), señalaron las agencias, que también destacaron que Europa y Asia Central sumaron el pasado año un tercio de todos los casos globales de sarampión.
Según OMS y Unicef, los casos de sarampión se habían ido reduciendo progresivamente en Europa desde 1997, cuando se registraron 216,000 contagios, hasta alcanzar un mínimo histórico de 4,440 en 2016, pero desde 2018 ha habido un resurgimiento de la enfermedad que se exacerbó durante la pandemia.
OMS y Unicef recuerdan que el sarampión es uno de los virus más contagiosos, y pueden darse casos graves y letales por complicaciones tales como neumonía, encefalitis, diarrea y deshidratación.
También es susceptible de provocar problemas de salud a largo plazo, como ceguera o un debilitamiento del sistema inmunológico que deja a quienes sobreviven con mayor vulnerabilidad ante otras enfermedades.
EFE



Semana Santa 2026 marca récord con 891,601 vehículos en peajes del país

Junta Central Electoral iniciará renovación de cédula desde el 12 de abril















